Looking back at previous posts, I believe I stated that 2020 was the worst year ever. Many things come to mind when I think of 2020: losing my job, covid lockdowns, mom being diagnosed, just to name a few. I lied. The worst year ever is absolutely 2022. Starting the New Year off by burying my Mother, then my Dad being in a hospital/rehab facility for a month due to a broken hip, Greyson’s two surgeries AND getting COVID, I think I have won the right to say Screw you ‘22.
For those who don’t know, I went to school to study music, particularly opera, as I am a singer. Right around 2005, I began getting serious about music and my potential future as a music teacher. At that same time though, I also began getting seriously sick. Every other month was a sinus infection, an upper respiratory infection, bronchitis, strep throat, ear infections, etc. I had at least one of these ailments each month throughout my sophomore year, up until graduation from high school in 2007.
My mother took me to a local ENT to have my sinuses checked out, due to the fact that I always felt stuffy and congested. The ENT did a catscan and ordered me to go for allergy testing, which we did a few weeks later. My CT scan at the time showed significant sinus cysts/polyps and a severely deviated septum. It also turns out that I am highly allergic to most molds, pollens, dander, etc. My first surgery was done in 2005, removing my tonsils, adenoids and sinus polyps. After the surgery and correction of my deviated septum, I was okay and actually healthy for about 2 years. I graduated and went off to a college 3ish hours away in August 2007.
While away at college, I had minor infections here or there but never anything super serious, other than mono my sophomore year. I transferred schools in 2010 and began having significant issues with my sinuses again. I admit, I let the infections linger about a year too long, causing lots of issues in my entire nose/throat/chest areas. I wasn’t surprised when my doctor said I needed another sinus surgery. So, the night of my 21st birthday, I was unable to drink or eat anything, as I was being wheeled into surgery early the next morning, for yet another battle with my chronic sinus issues. I was so mad that I couldn’t go out with my friends to celebrate. Instead of a bar crawl, my friends and I decided to go out to dinner and have a “bon voyage to my sinus trouble” celebration.
Again, I was okay through the rest of my undergrad and the surgery no doubt helped my voice and health when it came time for grad school auditions. Though this was short lived, because just like bad deja vu, I ended up back at the ENT in 2013. At first I chalked my frequent infections and sicknesses on my immune system and working in a school (aka a German paradise). Like the other visits to my doctor, antibiotics, steroids, rinses etc. did not work. The CT showed similar issues to my first two surgeries. Once this surgery was complete, I was seeking a second opinion on my sinus issues and immune system. In 2016, I began seeing Dr. Karen Rizzo, who is the most highly rated and respected otolaryngologist around Lancaster County. Dr. Rizzo did much of what my old ENT was doing- antibiotics, steroids, nasal rinses, etc. but again, nothing was working. January 2017 marked another sinus surgery for me, my first with Dr. Rizzo. Dr. Rizzo used new technology to revise my nose and sinuses, providing me much relief until the spring of 2022.


In May, I was on my 4th sinus infection of the year……a new record for me! I had seen Dr. Rizzo’s assistant in office and was placed on an antibiotic and steroid to resolve a nasty staph infection in my sinuses. I continued to have symptoms on and off, causing much frustration in my day-to-day life, as I began experiencing sinus migraines. It’s been absolute torture trying to stay positive, optimistic, strong and energetic for the kids, when all I want to do is sleep the headache away.
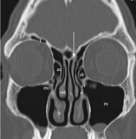
Immediately after vacation and I was cleared of covid, I went in for another CT scan. My scan showed significant issues in all of my sinus cavities. Most completely, if not almost completely filled with infection and swollen tissue. The nasal swab done before vacation had come back as positive for two different types of staph infections in my ethmoid sinuses and nasal cavity. I received word a few days later that the sample began to grow mucor fungus, which is most likely causing so many issues in my nose and throat right now. Four different types of oral medications and three different types of sinuses rinses later, and I’m still having issues. Luckily I only have to tolerate the headaches and pressure for a few more days until you guessed it……ANOTHER SINUS SURGERY!


As you can see by my CT above, I’m pretty screwed up when it comes to the sinus department. I am optimistic that Dr. Rizzo will get me all fixed up and hopefully will send me to a great sinus specialist at Jefferson Hospital in Philadelphia. Time will tell how long I will stay healthy and how well the surgery will go, but we will see by next week. Hoping for quick healing and positive vibes, please! ❤️




Leave a comment