
The morning of April 27th 2018 began at 3:45 am for Derek and I. I had a difficult night tossing and turning, anxious about what the doctors could possibly say or recommend at our appointments that day. The wonderful thing about the Hunter Nelson Sturge-Weber Syndrome clinic at Kennedy Krieger, was that the program coordinator set up new clients with as many appointments in one day as possible. I am assuming this is to minimize the amount of traveling families have to endure, especially families that are out-of-staters like us. We were set up for three appointments during the first visit:
- A pediatric dermatologist at JH to meet and discuss the Port-Wine stain on Greyson’s face, neck and ear.
- An opthalmologist at JH’s Glaucoma center to assess Greyson’s vision and eye health. Most patients with SWS have some sort of Glaucoma or eye issues.
- Dr. Comi at Kennedy Krieger to discuss MRI findings and to confirm or rule-out the SWS diagnosis.
Arrival time for the first appointment was 7:45 am. Woof.
Now, I have serious anxiety when it comes to going to new places, especially busy places with lots of people. For the month up until the appointments, I had studied the printed out map several times and had a route planned from our home in Millersville, to the parking garage, to all 3 appointments and back home. I made sure my car was filled with gas, the car DVD player was charged and the car was cleaned, vacuumed and fully stocked with everything we could possibly need for our mini road trip to Baltimore.
We arrived at the parking garage around 7:25 am and made the trek to the pediatric dermatologist in the Rubenstein building of the John’s Hopkins hospital. I made sure that we gave ourselves plenty of time to check-in, get G settled and to scope out the area in case we needed a changing table or a snack. We did the electronic check-in system, which is ultimately like the DMV…..you take a ticket, sit and wait for someone to call you up to check-in. 7:50 came and went and we still had not been called. We were one of 4 other families there that early, so we were puzzled as to why our number had not been called.
Around 8:00 am (our appointment time), I began to internally panic. I hate being late for things (ultimately, if I’m not at least 10 minutes early for something, then I am late in my mind). I finally cut through the small line of patients that were now checking in and stated that we had an appointment at 8 and that nobody called our number for check-in. Eventually, everything was sorted out. We were checked in and brought back to a small consultation room, where we were greeted by a female nurse and three medical students. The nurse took down G’s basic vitals and confirmed some information with us.
Dr. Cohen walked in shortly after we were seated in the room. I had searched him on the JH website, so I knew who he was and his background before he even introduced himself to us. He was so down-to-earth, polite and extremely intelligent. He confirmed that Greyson did not have “just a birthmark”, as so many had previously told us, but he had a Port-Wine stain (PWS) that impacted his capillaries in his face, ear and neck.
Dr. Cohen asked if we had any concerns about G’s hearing since the PWS covered his ear and could also be on his left eardrum. At birth, Greyson failed his hearing test several times. We took him to an audiologist when he was a month old to confirm whether he could hear or not. He passed the right ear, no problems. The left eardrum was capable of vibrating but the audiologist was not fully convinced he could hear. We did discuss these findings with Dr. Cohen, who recommended we get a tube in the left ear for G, with hopes that it would help his hearing. He also recommended that we schedule a laser treatment to remove the PWS while G was young and had supple skin. We are going to Baltimore for this procedure on Friday, July 6th.
Next appointment we had was at 9:30 am at the Glaucoma center in the Maumenee building at JH, which was a brisk walk about 2 blocks north of Dr. Cohen’s office. We had some time, so we stopped at a small cafe to get G some cereal and a banana. He was throwing a tantrum, so Derek took him outside and sat on a bench while I paid for the food. I am very self-conscious when it comes to G throwing tantrums and crying in public. I do not want to disturb others or fight with myself to try and ignore the ever-so subtle dirty looks from judgmental people. Once we were finished feeding G, we made our way to the next appointment.
The staff member that checked us in was extremely polite. He assured me that we were in the correct location and made small talk with me regarding the new Avengers movie that came out that day. We waited about 15 minutes for Dr. Jampel, the doctor we were seeing that day. During the wait, G had fallen asleep. Thank you, Lord! Dr. Jampel was able to do the initial examination while G was asleep, which saved Derek and I from having to restrain him while the doctor was shining a bright light in his eyes. Greyson required eye dialation for the examination of his pupil and retna. The drops were administered while G was asleep. This immediately sent G into a full-blown fit, which we obviously were anticipating since the burn from the drops woke him from a fairly deep sleep. Once the drops were in, we had to wait 15-20 minutes before the second part of the exam, to give the drops time to really take effect.
During our waiting period, we were seated on a bench outside of the exam room. We saw several patients walk back and forth from their exams, most were elderly that were wearing thick glasses or were guided by a family member through the narrow hallway. Greyson was running up and down the hallway, still screaming and crying. Derek and I knew it was best to let him run around and throw a fit, than to have us try and hold him and risk a foot or a thick skull bashing us in the face. There was another male patient sitting on a chair a few feet down the hall from us, who clearly had SWS. He had the distinct facial PWS, was wearing thick lensed glasses and he had some minor lip deformity as well. He was there for his yearly glaucoma check-up.
My gut was telling me that Greyson’s PWS was not associated with SWS, but I still wanted to hear it from the doctor.
Dr. Jampel came back out for us. After the examination of Greyson’s eye, Dr. Jampel concluded that G did not have glaucoma, nor was he at risk of developing it.
Instant relief.
The next appointment at Kennedy Krieger with Dr. Anne Comi, was the most important appointment of the day. Dr. Jampel had run a little late, which put Derek and I behind schedule as well. We hauled-ass 2 blocks north toward the Kennedy Krieger outpatient facility.

We finally arrived at Dr. Comi’s office and checked-in promptly. Once G was settled, we were greeted by a member of the child-life team. Child-life is a program established at most “big name” hospitals to keep children comfortable and calm during appointments. This was extremely helpful for G and gave him a chance to play with toys while Derek and I spoke with Dr. Comi.
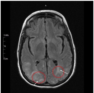
Dr. Comi had several questions for us regarding the EEG that Greyson had done back in December 2017 and the MRI he had in March 2018. I am that parent, who keeps a binder of all results from Greyson’s procedures, appointments and documentation for his insurances, so I was able to provide Dr. Comi with detailed results of those procedures and the disc with G’s MRI images.
While Dr. Comi was reviewing the MRI images, the silence felt like hours. G was occupied with a toy, leaving Derek and I to silently watch eachother’s reaction to the doctor’s puzzled facial expressions. The next few words were some of the most relieving, yet terrifying words I have ever heard….
“Well, I do not see enough evidence to support a diagnosis of Sturge-weber syndrome.”
Yes!
“But what I do see, I was not expecting to see.”
What?!
Dr. Comi then began asking us questions about Greyson’s birth history and if I had any complications while pregnant with him.
Why?
Have we had any blood work drawn for genetic testing for Greyson yet?
Why is this important? What did she see on the MRI?
We informed her that yes, we had bloodwork drawn from Greyson, Derek and myself for an array of genetic testing. We were awaiting the results from the Clinic for Special Children in Strasburg, PA, but were told that it could be months before we would receive the results.
Dr. Comi stated that she saw significant brain damage on Greyson’s MRI. The areas primarily impacted was his occipital lobe and some white-matter anteriorly and posteriorly.
She would have been better off speaking jibberish to us.
Derek and I knew we could handle Autism, but this was something we knew nothing about.
Dr. Comi stated that because Greyson did not fit the diagnostic criteria to be followed at the SWS clinic at Kennedy Krieger, she was going to refer us to a neurologist that handles white-matter brain diseases. Luckily, this neurologist works closely with Dr. Comi at the SWS clinic, and she vowed to help us until we could figure out what exactly was going on with our son. She handed us several lab order forms and we scheduled a follow-up with her for August 3, giving us plenty of time to get the labs done and results generated.
We walked the 4 blocks back to the parking garage. Neither Derek or I spoke much. We packed G up in his car seat with juice, a snack and Trolls playing on the DVD player. I got into the driver’s seat and looked at the lab order forms from Dr. Comi. I was confused, sad, angry and anxious all at the same time. Derek looked at me and said “We will be okay. We can do this.”
I put the car in reverse and backed out of the parking spot in the very full garage. I began to drive out of the garage when I remember seeing a word on the lab order form that I had never seen before.
The word was the primary diagnosis provided for the lab order- encephalopathy.



Leave a comment